M@re Nostrum

La Malaria y los Viajes
Por Anne T. Merriman
Traducción: Miquel Pontes

Aunque este artículo no trata de submarinismo, sí es importante para todos aquellos de nosotros que viajamos a latitudes tropicales para bucear. Debe tenerse en cuenta que el submarinismo es un deporte de riesgo en el que todos nuestros sentidos deben estar absolutamente disponibles para solventar cualquier incidencia, por pequeña que sea, en un medio que, por definición, nos es hostil... el agua.

e desperté de repente de una terrible pesadilla con la frente cubierta de sudor. Mi sueño estaba plagado de terroríficas visiones y mis días llenos de ansiedad y cansancio. Creía que estaba sufriendo una crisis nerviosa en medio de Tanzania, en el África Oriental.

Aparentemente no me pasó únicamente a mi.

Mi experiencia africana se volvió agria como resultado del medicamento que estaba tomando para prevenir la malaria, una enfermedad infecciosa mortal que amenaza a todos los viajeros que visitan el África sub-sahariana. El medicamento, Lariam, me fue recomendado por el Centro para el Control de Enfermedades de EE.UU. sin mencionar los efectos secundarios.

Mis 15 compañeros y yo sufrimos: nerviosismo, ansiedad, pesadillas y vértigo, por mencionar tan sólo unos cuantos efectos. Detuve mi tratamiento con Lariam a favor del tratamiento antimalárico europeo: Paludrine y Cloroquina, siguiendo el consejo de un médico africano. Mis molestias desaparecieron inmediatamente.

El Centro para el Control de Enfermedades recomienda el Lariam para la prevención de la malaria en los viajeros que visitan los trópicos, indicando que "todos los estudios confirman que Lariam es bien tolerado cuando se usa como medicamento preventivo", aunque la administración ha recibido cerca de 800 cartas de gente que ha sufrido reacciones adversas. Las quejas incluyen desde vértigo, nauseas, depresión, ansiedad, pesadillas, psicosis o alucinaciones hasta el shock, convulsiones e incluso intentos de suicidio.


Los mosquitos Anófeles hembra
son los transmisores de esta
terrible enfermedad

La malaria es el asesino número uno de todo el mundo entre las enfermedades infecciosas en el África tropical, el Sudeste asiático, zonas de la India, el Sur de China, Latinoamérica, Haití y algunas islas del Pacífico.

Es una infección causada por un parásito que se adquiere cuando un mosquito inyecta el parásito en nuestra sangre. Después de un periodo de entre unas semanas y algunos meses, aquellos que están infectados desarrollan síntomas similares a la gripe, como fiebre alta, dolores de cabeza, dolores musculares, nauseas y desórdenes intestinales. Si no se trata a tiempo, la malaria puede evolucionar hacia la anemia, fallo renal o cardíaco e incluso la muerte.

La malaria mata anualmente un millón y medio de personas, aproximadamente una muerte cada 20 segundos. Es endémica en 103 países y muchos viajeros occidentales caen en sus garras.

La mejor defensa del viajero contra la enfermedad es tomar medicamentos antimaláricos y evitar ser picado por los mosquitos. Es recomendable permanecer en áreas cerradas desde la puesta de sol hasta el amanecer, dormir con redes mosquiteras, llevar prendas de manga larga y pantalones largos, y aplicarse periódicamente repelente antimosquitos con un contenido en DEET elevado en las zonas expuestas de la piel y en la ropa.

En Estados Unidos, los doctores prescriben Lariam en las clínicas para viajeros de todo el país. Este medicamento fue ampliamente discutido en círculos médicos, antes de su aprobación por los organismos competentes, debido a su larga historia de efectos adversos contra el sistema nervioso. Hoy en día, Lariam es el medicamento antimalárico más usado de todo el mundo.

"Más de la mitad de los pacientes a los que se dio dosis altas de Lariam se quejaron de nauseas, vértigo y fatiga" escribió N.J.White en un estudio publicado en el British Medical Journal de Enero de 1994.

Lariam se fabrica en los Laboratorios Roche de Suiza. Roche está de acuerdo acerca de las incertidumbres de este medicamento en el propio prospecto del mismo. Podemos leer "Su mecanismo de acción exacto es desconocido" junto con "Si aparecen signos inexplicables de ansiedad, depresión, desasosiego o confusión... debe interrumpirse el tratamiento."

Aunque se cree que Lariam es efectivo en la protección contra la malaria, los efectos de su aplicación a largo plazo en los humanos son desconocidos. No debe ser tomado por pacientes con un historial de epilepsia o desórdenes psicológicos, o por gente que esté bajo tratamiento de corazón. También debe evitar tomar Lariam los pilotos de líneas aéreas y otros operadores de maquinaria pues pueden sufrir efectos de embotamiento, vértigo y confusión.

El investigador Christophe Hennequine ha informado de dos casos en una famosa publicación médica de dos hombres que sufrieron reacciones adversas severas tras tomar Lariam. Un saludable hombre de 23 años tomó la dosis preventiva estándar semanal de 250 mg en un viaje a Costa de Marfil. Después de la segunda dosis apareció un insomnio intenso y una ansiedad que aumentó progresivamente con sentimientos de persecución e hipocondría. Tres días después de su retorno de África, el hombre fue arrestado por comportamiento agresivo en público. Sufría pérdida de memoria y confusión.

El segundo caso de Hennequine era un francés de 45 años, también sin contraindicaciones médicas, que tomó Lariam durante una visita a Tailandia. Mientras estaba allí, empezó a tener insomnio, y dos semanas más tarde se puso melancólico y no podía concentrarse. Su situación se deterioró en una depresión seria con impulsos suicidas.


El efecto de la malaria en los glóbulos rojos
provocando anemia con el tiempo.

"Se han documentado casos de posibles reacciones neuropsiquiátricas asociadas con el Lariam, y estos informes han llevado a los militares americanos a dudar de la conveniencia de administrar Lariam semanalmente como profilaxis preferida" añadió J.L.Sánchez en la prestigiosa revista médica The Lancet.

Los efectos de Lariam incluyen el "síndrome cerebral agudo", consistente en desorientación y disfunción mental y "síntomas psiquiátricos", como psicosis aguda, pérdida de memoria, confusión, alucinaciones y anomalías del comportamiento (agresión, agitación e hiperactividad). Si bien la mayor parte de estos síntomas no duran más de 10 días después de interrumpir el tratamiento con Lariam, la depresión severa puede durar hasta nueve meses después. "No hay explicación para estas reacciones" asevera Hennequine.


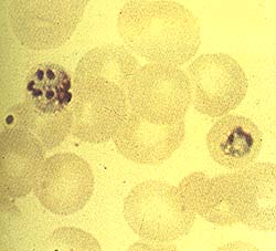
Plasmodios visibles en los glóbulos
rojos de la sangre.

A pesar de estos hallazgos, el Centro para el Control de Enfermedades informaba en Abril de 1995 que "los efectos secundarios menores que uno puede experimentar mientras toma Lariam incluyen alteraciones gastrointestinales y vértigo, que tiende a ser suave y temporal. Raramente pueden presentarse efectos secundarios más graves a las dosis recomendadas."

La Organización Mundial de la Salud recomienda actualmente Cloroquina/Paludrine o Lariam, pero no especifica claramente un orden de preferencia. El Centro para el Control de Enfermedades recomienda Lariam, y el Paludrine no ha sido aprobado para su comercialización en EE.UU. En Inglaterra, dos laboratorios de investigación, el Malaria Reference Laboratory y el Ross Institute, recomiendan Cloroquina/Paludrine, mientras que el Lariam lo reservan como una opción para viajes cortos en áreas de malaria altamente resistente a la Cloroquina, según el investigador Robert Steffen en The Lancet en Mayo de 1993.

Los viajeros pueden encontrar una alternativa segura y efectiva en la combinación Paludrine/Cloroquina, que puede comprarse en cualquier farmacia fuera de los EE.UU. "En la profilaxis de la malaria, Cloroquina/Paludrine tiene un excelente registro de seguridad, siendo muy raramente asociada a reacciones adversas severas a las dosis recomendadas", escribió G.A.Luzzi en la revista médica Drug Safety. La tasa de reacciones adversas severas es de menos de una por cada cien mil. Los efectos secundarios reportados incluyen llagas en la boca y caída de cabello temporal.


Se está investigando en la obtención
de vacunas antimalaria

Aunque es más efectivo cuando se combina con una dosis semanal de Cloroquina, el Paludrine, que ha sido empleado en Europa desde 1948, es un medicamento antimalárico muy efectivo y seguro, que puede ser usado sólo contra la malaria provocada por el Plasmodium falciparum resistente a la cloroquina, según indica el investigador C.G.Nevill en The Transactions of Royal Society of Tropical Medicine and Hygiene.

A diferencia del Lariam, el Paludrine es seguro para las mujeres embarazadas y para las que alimentan a sus hijos dándoles el pecho. "Paludrine ha sido ampliamente usado durante más de 40 años y... la mayor parte de la gente puede tomarlo sin problemas" indica el fabricante de Paludrine, Zeneca, en la hoja de especificaciones del medicamento.

El riesgo de la malaria depende de la duración de la estancia del viajero en zonas rurales y del tipo de malaria presente. Cuando se prescriben medicamentos antimalaria, los médicos deben considerar que los medicamentos se les están dando a personas sanas para evitar que caigan enfermas. "Así, se necesita un asesoramiento cuidadoso para asegurarse de que el riesgo de toxicidad del medicamento antimalárico no es superior al riesgo de contraer la malaria", explica Luzzi.

"No podía tolerarla" dice Artie Jenkins, que tomó Lariam durante un safari de 10 días en Kenya en 1992. "Me dio una terrible acidez de estómago y problemas intestinales, por lo que dejé de tomarlo. Pensé que prefería contraer la malaria a tener que soportar el Lariam".


Muramildipéptido, vacuna sintética
capaz de provocar una respuesta inmune

Reconociendo las limitaciones de los medicamentos antimaláricos y la complejidad de la situación de la malaria en el mundo, la OMS recomienda que además de, o a veces en vez de, los medicamentos antimaláricos, los viajeros deben llevar con ellos un tratamiento médico de emergencia cuando se sospeche de malaria y no haya ayuda médica disponible.

Conforme continúa la investigación, los científicos aprenderán mas, indudablemente, sobre el Lariam y sobre la Cloroquina/Paludrine.

Pero la próxima vez que visite Africa Oriental, pararé antes en Europa para comprar Cloroquina/Paludrine.

Enlaces:

Información actualizada en: National Center for Biotechnology Information

Referencias:

  1. Bradley, D.J. "Malaria prophylaxis: guidelines for travelers from Britain." BMJ. (1995) 310: 709.
  2. Centers for Disease control and Prevention. World Wide Web site, posted on Aug. 18, 1995.
  3. Day, J.H. and R H Behrens."Delay in onset of malaria with Mefloquine prophylaxis." The Lancet. (1995) 345: 398.
  4. F. Hoffmann-La Roche & Co. Lariam (lariam hydrochloride). Basle, Switzerland.
  5. Hennequine, C. "Severe psychiatric side effects observed during prophylaxis and treatment with mefloquine." Archives of Internal Medicine. (1994) October, 24.
  6. Jenkins, Artie. 401-453-6000
  7. Kondrachine, A.V. "Malaria: hope for the future." World Health. (1995) March.
  8. Luzzi, G.A. and Tim E.A. Peto. "Adverse effects of antimalarials - an update." Drug Safety. (1993) 8: 295.
  9. Nevill, C.G. "Daily Chloroproguanil is an effective alternative to daily proguanil in the prevention of Plasmodium falciparum malaria in Kenya." Transactions of the Royal Society of Tropical Medicine and Hygiene. (1994) 88: 319.
  10. Peterson, Faye. "Mefloquine approved for malaria." FDA Talkpaper. 1989.
  11. Sanchez, J.L. and R.F.DeFraites "Mefloquine or doxycycline prophylaxis in US troops in Somalia." The Lancet .(1993) 341: 1021.
  12. Schlagenhauf, P. "Behavioral aspects of travelers in their use of malaria presumptive treatment." World Health Organization Bulletin. (1995) March.
  13. Wetsteyn, J.C. "Comparison of three regimes for malaria prophylaxis in travelers to east, central and southern Africa." JAMA. (1994) 307:1041.
  14. White, N.J. "Mefloquine: in the prophylaxis and treatment of falciparum malaria." BMJ. (1994). January, 29.
  15. Zeneca Limited. "Patient information leaflet." Paludrine (proguanil hydrochloride). Cheshire, UK.


© Texto: Anne T. Merriman
Fotos: Foundation SCIENTIFIC EUROPE

 

  Navegación rápida

   


Aviso Legal

© Miquel Pontes 1996-2026  Todos los derechos reservados


Última modificación: 01 de gener 2026 09:19


Hemos recibido visitas